DENTAL
Most people in Duval have never been to a dentist.
Dr. Nixon closes his dental office in town, packs his dental equipment into a 4x4 vehicle, and drives the rocky road to Duval. There are long lines of people waiting to see him. We charge about $1 per visit. The cost of running the dental clinic (materials, medication, and paying staff) is approximately $3,000 for one week.
Dr. Nixon and his assistant at work.
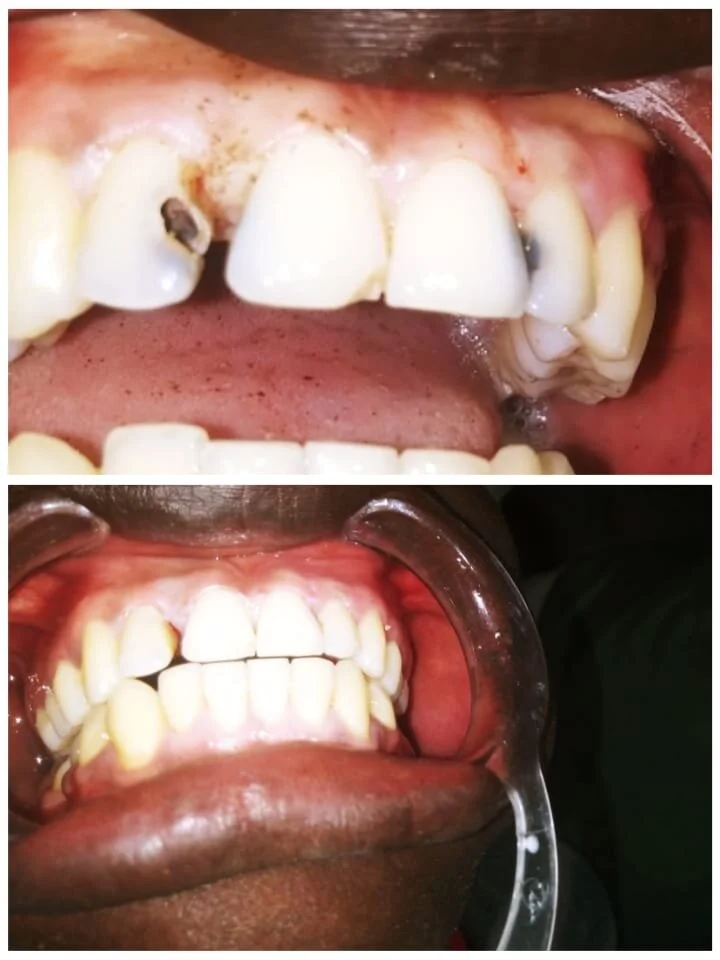
BEFORE AND AFTER PHOTOS
Before
After
Before
After
Another happy patient!

